Ein kurzer Überblick über das Down-Syndrom
Wahrscheinlich hatten wir alle schon einmal Kontakt zu jemandem mitDown-Syndrom.Das kann bedeuten, dass du einen Schauspieler mit Down-Syndrom in einer Fernsehsendung oder einem Film gesehen hast (Peanut Butter Falcon, irgendjemand?!), jemanden aus der Schule kennst, jemanden in der Öffentlichkeit gesehen hast oder ein Familienmitglied mit Down-Syndrom hast.
Was ist das Down-Syndrom?
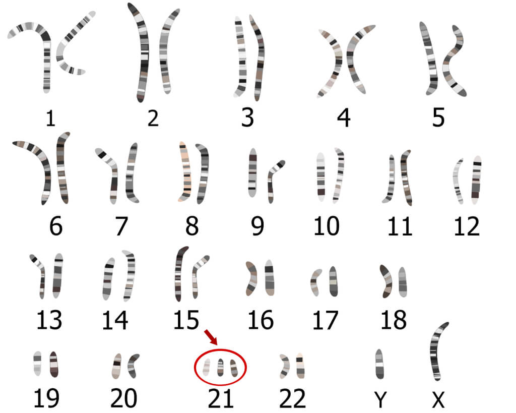
In jedem Menschen auf dieser Welt stecken Milliarden von Zellen, die Informationen über genau diese Person enthalten. Diese Informationen nennen wir "DNA". Und in dieser DNA gibt es Chromosomen, die genetische Informationen speichern, wie zum Beispiel Augenfarbe, Geschlecht, Haarfarbe, oder ob jemand seine Zunge rollen kann. Die meisten Babys bekommen 23 Chromosomen von ihrer Mama und 23 Chromosomen von ihrem Papa. Menschen mit Down-Syndrom haben ein zusätzliches 21. Chromosom. Das bedeutet, sie haben das 21. Chromosom dreimal, anstatt nur zweimal.
Okay, I'm ready! Please provide the content from the YouTube video so I can translate it into German for a children's speech therapy blog in a natural, warm, and parent-friendly tone. I will return only the German text.
Das Down-Syndrom wurde schon seit Jahrhunderten in der Kunst angedeutet, aberJohn Langdon Down, ein britischer Arzt, war der Erste, der 1866 eine wissenschaftliche Arbeit über das Down-Syndrom veröffentlichte. Seine Arbeit war die erste, die es als eigenständige Einheit beschrieb und ihm den Titel "Vater" des Syndroms einbrachte. Letztendlich wurde das Syndrom auch nach ihm benannt.
Wie häufig kommt das "Ich" vor?t?
Laut demCDCwerden in den Vereinigten Staaten jedes Jahr etwa 6.000 Babys mit Down-Syndrom geboren. Das entspricht ungefähr einem von 700 Babys mit dieser Erkrankung.
Es gibt drei Arten.
- Non-Disjunction (Fehlende Trennung):Das passiert, wenn bei der Zellteilung ein Fehler auftritt, der zu einer dritten Kopie des 21. Chromosoms führt.Non-Disjunction (Fehlende Trennung)ist für mehr als 95 % der Fälle von Down-Syndrom verantwortlich. Dieses fehlerhafte Trennen geschieht normalerweise entweder in der Eizelle oder im Spermium vor der Empfängnis. Dadurch entwickelt sich der Embryo mit der dritten Kopie in jeder Zelle seines Körpers.
- Mosaik: Dies tritt auf, wenn eine Kombination von Zellen mit nur 46 Chromosomen und Zellen mit 47 Chromosomen vorliegt. Dies ist die seltenste Form und betrifft nur etwa 1 % der Menschen mit Down-Syndrom.
- Translokation (Verlagerung): Hier enthalten die Zellen 46 Chromosomen, aber eine dritte Kopie oder ein Teil einer Kopie des 21. Chromosoms ist an ein anderes Chromosom angehängt. Translokation ist für etwa 4 % der Fälle von Down-Syndrom verantwortlich.

Was ist die Ursache für das Down-Syndrom?
Bei jeder Art führt das Vorhandensein einer zusätzlichen Kopie des 21. Chromosoms zu den Merkmalen des Down-Syndroms. Der Grund für diese zusätzliche Kopie ist noch unbekannt. Der einzige Faktor, der mit einer erhöhten Wahrscheinlichkeit für ein Kind mit Down-Syndrom in Verbindung gebracht wird, ist dasAlter der Mutter.Trotzdem werden mehr als 80 % der Babys, die damit geboren werden, von Frauen unter 35 Jahren geboren.
Es gibt keine Forschungsergebnisse, die belegen, dass Umweltfaktoren vor, während oder nach der Schwangerschaft die Wahrscheinlichkeit erhöhen, dass ein Baby mit Down-Syndrom geboren wird. Im Moment scheint die Ursache reiner Zufall zu sein.

Gibt es einen Zusammenhang mit den Genen?
Die kurze Antwort ist: Nein.Die einzige Form von Down-Syndrom, die eine leichte genetische Verbindung zu haben scheint, ist die Translokation. In allen anderen Fällen liegt die erbliche Verbindung bei weniger als 1 %.
Wie wird das Down-Syndrom festgestellt?
Vor der Geburt:
Es gibt eine Reihe von nicht-invasiven, pränatalen Tests, die im ersten Trimester durchgeführt werden können, um Marker für das Down-Syndrom zu bestimmen. Diese Tests können jedoch nicht mit Sicherheit sagen, ob ein Fötus es hat oder nicht. Wenn es signifikante Marker gibt, empfehlen Ärzte normalerweise invasivere Tests, die alsChorionzottenbiopsie (CVS) und Amniozentesebezeichnet werden. Diese Tests bergen ein Risiko von etwa 1 % für eine Fehlgeburt, liefern aber genauere Informationen.
Ärzte führen die Chorionzottenbiopsie (CVS) normalerweise im ersten Trimester durch und die Fruchtwasseruntersuchung kann im zweiten Trimester erfolgen. In der Down-Syndrom-Gemeinschaft gibt es viele Diskussionen über pränatale Tests. Genauer gesagt, über die Informationen, die Eltern von Ärzten erhalten, wenn die Tests positiv sind. In den Vereinigten Staaten führen etwa 75-90 % der pränatalen Diagnosen aufgrund der Empfehlungen von Medizinern zu einem Abbruch der Schwangerschaft. Die Down-Syndrom-Gemeinschaft versucht, die Wahrnehmung von Diagnosen für das Down-Syndrom zu verändern.
Bei der Geburt:
Normalerweisezeigen Babys, die mit dem Down-Syndrom geboren wurden,körperliche Merkmale, die auf die Erkrankung hindeuten. Dazu können gehören (sind aber nicht darauf beschränkt und treten nicht bei allen Babys auf): niedriger Muskeltonus, eine einzelne Handlinienfurche, ein leicht abgeflachtes Gesichtsprofil, ein größerer Abstand zwischen der großen Zehe und der zweiten Zehe und ein nach oben gerichteter Augenschlitz. Wenn ein Arzt aufgrund der körperlichen Untersuchung ein Down-Syndrom vermutet, wird er/sie einen Gentest, einen sogenannten Karyotyp, durchführen, um das Vorhandensein des zusätzlichen 21. Chromosoms zu bestätigen. Der Arzt entnimmt und analysiert dazu das Blut des Babys.
Unsere Geschichte
Bei unserer zweiten Sohn hatten wir eine ganz normale Schwangerschaft und eine natürliche Geburt ohne Medikamente. Ich war damals 27 Jahre alt und es gab keinerlei Komplikationen. Auch die erste Untersuchung nach seiner Geburt verlief völlig problemlos.
Die Schwestern brachten uns für die Nacht in unser Wochenbettzimmer. Gegen 4 Uhr morgens kamen die Schwestern, um seine gründlichere körperliche Untersuchung durchzuführen. Als ich um 5 Uhr morgens aufwachte, war er immer noch nicht zurück. Ich rief die Schwester, die mir mitteilte, dass er seinen Sauerstoffgehalt nicht selbstständig aufrechterhalten konnte. Er wurde auf die Neonatologie verlegt. Im Laufe des nächsten Tages wurden wir von seinem Neonatologen hingehalten, was der Grund dafür war, dass er seinen Sauerstoffgehalt nicht aufrechterhalten konnte.
Am zweiten Tag sagte uns der Arzt dann endlich, dass er körperliche Merkmale des Down-Syndroms habe. Er hat uns aber leider nicht gesagt, welche Merkmale das waren. Danach teilte er uns mit, dass sein Blut auf Trisomie 21 getestet wurde. Wir wissen jetzt, dass der Hauptgrund, warum er seinen Sauerstoffgehalt nicht halten konnte, eine Kombination aus niedrigem Muskeltonus und kleinen Löchern in seinem Herzen war. Beides hat sich von selbst innerhalb von 4 Wochen geschlossen (ungefähr 60 % der Babys mit Down-Syndrom haben Herzfehler).
Wir waren erst etwas verwirrt, aber nach vielen Gesprächen haben wir uns total auf dieses neue Abenteuer gefreut. Nach zwei Wochen auf der Frühchenstation durften wir unser Baby endlich mit nach Hause nehmen und in die wundervolle Welt des Down-Syndroms eintauchen.
Mythen entzaubern
Zwei der größten Sorgen, die wir nach seiner Diagnose hatten, waren, ob er jung sterben würde und ob er aktiv an unserem Gemeinschaftsleben teilnehmen könnte.
Wir haben gelernt, dass Menschen mit Down-Syndrom dank medizinischer Fortschritte im Verständnis dieser Erkrankung und engagierter Fürsprecher für Inklusion in der Down-Syndrom-Gemeinschaft bis ins hohe Alter von 60, 70 Jahren leben können. Sie können erfüllende Jobs finden, sprechen, rennen, spielen, gemeinsam mit anderen Kindern lernen und aktive Bürger in ihren Gemeinden sein und ein erfülltes, sinnvolles Leben führen.
Dank frühzeitiger Intervention, der Umsetzung von Sprachförderung (einschließlich der Nutzung derSpeech Blubs Appzur Unterstützung seiner Therapien zu Hause), Ergotherapie und Physiotherapie nach Bedarf sowie unserer aktiven Teilnahme an diesen Therapien haben wir aus erster Hand gesehen, wie unser Sohn aufblüht!
Von Kelli Green